인더뉴스 김영욱 기자ㅣ인공지능(A.I. Artificial Intelligence*)이 암을 치료한다는 발상은 의학이 데이터를 기반으로 한 학문이라는 것에서 출발합니다.
이는 현대의학에 있어서 환자의 진단 및 치료가 의사의 주관적인 판단이 아닌 최대한 객관적 자료와 체계적인 분석에 의해 접근한다는 것을 의미합니다.
Artificial Intelligence* 인간의인간의 학습능력과 추론능력, 지각능력, 자연언어의 이해능력 등을 컴퓨터 프로그램으로 실현한 기술.
어떤 환자에게 어떤 진단 검사를 시행하고, 그 결과를 토대로 어떤 치료를 할지는 다양한 임상시험의 결과를 기준으로 진행됩니다. 그렇기 때문에 의학은 오래전부터 데이터를 기반으로한 학문이었다고 루닛측은 전합니다.
‘인공지능을 활용한 암 정복’을 미션으로 설립된 루닛(Lunit Inc. 대표 서범석)은 국내 최초의 딥러닝(Deep learning. 심층 학습) 스타트업 입니다. 루닛의 이름은 ‘Learning Unit(구성 단위를 배우는 것)’을 줄여서 만들어진 단어로 지난 2013년 한국과학기술원(KAIST)에서 인공지능 기술을 연구하던 대학원생 6명이 모여 창업한 ‘클디(Cldi)’로 시작했습니다.
패션 아이템 매칭서비스에서 메디컬 이미징 사업으로의 피봇Pivot
재미있는 것은 루닛의 사업 초기모델은 AI 기반 이미지 인식 기술을 활용해 원하는 옷이나 액세서리를 찾아주거나 또는 비슷한 제품을 추천해주는 패션 사업 모델이었다는 점입니다. 하지만 시장상황이 변화하기 시작했고, 스타트업 특성상 초기 성과는 만족할만한 수준은 아니었습니다.
난관에 봉착한 당시 창업자들은 ‘우리가 가장 잘 할 수 있는 것, 우리에게 의미 있는 사업이자 나중에 세계시장까지 나갈 수 있는 사업은 뭘까?’ 라는 고민을 시작했고, AI 기반 메디컬 이미징 사업이라면 가능하겠다는 결론에 도달하게 됩니다. 그렇게 창업 2년 후 피봇(Pivot*)을 결정합니다.
Pivot* 스타트업에서 피봇이란 제품의 시장 적합도를 맞춰보는 과정에서 고객의 반응이 없는 경우 새로운 고객과 수익성을 위해 서비스나 제품 혹은 사업 모델을 소폭 조정해 다른 방향으로 전환하는 것을 의미함.
이후 의료영상진단 솔루션 개발에 주력하며 루닛으로 사명을 변경했죠. 딥러닝에 대한 높은 기술력을 지닌 6명의 공동창업자는 현재까지 회사의 중요 직책을 맡아 근무 중입니다. 현재 경영을 총괄하는 서범석 대표는 KAIST 생명과학과를 거쳐 서울대학교 의과대학을 졸업하고, 서울대학교병원에서 수련을 마친 가정의학과 전문의입니다.
세계적인 인공지능AI를 활용한 환자의 생존율 극대화
루닛의 창업가들은 인공지능이 가져오는 핵심 가치를 ‘규모가 크고 복잡한 빅데이터(Big Data)에서 유익한 정보 및 패턴을 다른 기술 대비 가장 잘 추출해낸다는 점’이라고 보았습니다. 인공지능이 의학분야에서 효과적으로 적용이 될 수 있다고 본 것이죠.
아울러 최신 의학에서는 일반환자에 기반한 진단/치료를 넘어 환자 개개인의 특성에 맞춘 치료에 초점이 맞춰지고 있는 추세이고, 이를 위해서는 많은 양의 정보를 처리하고 복잡한 분석이 가능한 인공지능이 효율성 측면에서 더욱 가치가 클 것이라고 판단했습니다.
이름에 걸맞게 루닛은 관련분야에 있어서 세계 최고 수준의 딥러닝 기술을 갖고 있다고 합니다. 각종 국제 인공지능 대회에서 구글, 마이크로소프트, IBM 등의 글로벌 기업과 하버드 의대팀을 제치고 최상위권에 오르며 기술력을 증명했습니다.
이들은 ‘인공지능을 활용한 암 정복’의 의미를 ‘인공지능을 활용해 환자의 생존율을 극대화하는 일’이라고 정의하고 있습니다. 이를 위해서는 크게 2가지가 중요한데요. 먼저 병원에서 암 진단이 제대로 되어 조기에 암이 효율적으로 발견돼야 하고, 두번째는 제대로 된 적절한 치료가 환자 맞춤형으로 이루어져야 합니다.
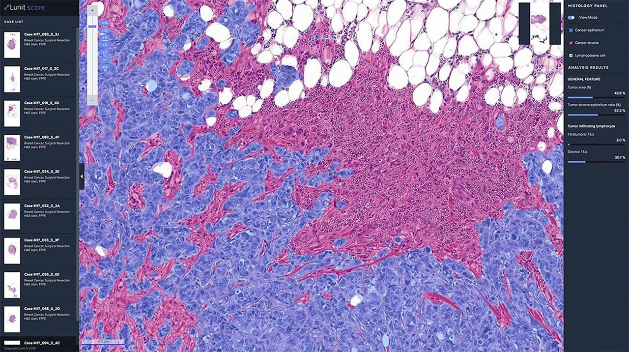
직관적으로 말하자면 효과적인 진단과 치료에 도움을 주는 서비스와 제품 개발이 루닛이 하고 있는 일입니다. 영상진단에 도움을 주는 루닛 인사이트(Lunit INSIGHT) 제품군과 항암제에 대한 치료 반응을 예측해 주는 루닛 스코프(Lunit SCOPE) 제품군입니다.
첫 번째, 효과적인 진단을 위해서 흉부 엑스레이(Lunit INSIGHT CXR)와 유방촬영술(Lunit INSIGHT MMG) 분석에 대한 인공지능 기술을 특화시켜 제품화 했습니다. 그 이유는 위의 2가지 방법이 암을 검진하는 데 가장 널리 쓰이는 진단이고, 다수의 환자에게 도움이 될 수 있다는 판단 때문이었습니다. 이에 대한 결실로 작년에 식약처 허가와 유럽 CE 인증을 받았습니다.
두 번째, 효과적인 치료를 위해서는 인공지능으로 항암 치료제에 대한 반응을 정확하게 예측해주는 루닛 스코프(Lunit SCOPE)를 연구개발하고 있습니다.
검증된 증거 기반의 연구를 위해 스타트업으로서는 드물게 루닛은 세계적으로 권위있는 학술지나 학회에 지속적으로 논문을 발행하고 채택되는 글로벌 탑티어 회사 중 하나입니다. 보유하고 있는 의료 AI 기술을 알리기 위해서는 신뢰할 만한 학회에 논문으로 입증하는게 가장 좋은 방법이라고 생각했기 때문입니다.
덕분에 현재 루닛의 진단 제품들은 국내 주요 종합병원은 물론, 1~3차 병원과 보건소 등에서 사용 중입니다. 해외에서는 멕시코, 아랍에미리트연합, 중국, 태국, 대만 등에서 흉부 엑스레이 및 유방촬영술 영상 분석에 사용되고 있습니다.
루닛은 일찍부터 해외시장 확대를 위해 글로벌 의료기기 회사 중 한 곳인 후지필름과 파트너십을 맺어왔습니다. 그리고 최근 미주 지역 진출을 위해 미국 보스톤에 Lunit USA 법인설립을 완료했고, 유럽진출을 위해 네덜란드 암스테르담에도 지사를 설립했습니다. 동아시아 시장 진출을 위해서는 중국 상해에 Lunit China 법인 설립도 마무리 단계에 있다고 합니다.
향후 계획을 묻는 질문에 루닛측은 궁극적으로 AI가 암·질병 여부를 판단해서 진단하는데 그치지 않고, 환자의 데이터·유전자 정보를 분석해 최적의 항암제를 추천해 주는 치료 영역으로 AI를 적용할 계획이라고 전했습니다.
이는 암 환자에게 적합한 항암제를 맞춤형으로 선택해 환자의 생명에 도움을 줄 수 있다는 것이죠. 또한 제약업체들이 신약 개발을 할 때 드는 상당한 시간과 비용을 상당부분 절감할 수 있을 것이라 말했습니다.
세계적인 시장조사기관 CB 인사이트는 2017년에 발표한 100대 AI 기업 랭킹에 한국 기업으로는 유일하게 루닛을 선정했고, 지난해에는 세계에서 가장 유망한 디지털 헬스 기업 목록인 ‘디지털 헬스 150’ 에도 선정되었습니다. 임직원 수는 약 110명으로 현재까지 누적투자금액은 588여억 원입니다.





![[3분기 실적] 롯데하이마트, 누적 영업익 184억원…3분기 연속 수익성 개선](https://www.inthenews.co.kr/data/cache/public/photos/20251044/art_17618778599179_f7220b_120x90.jpg)
![[3분기 실적] KB금융 순익 5조 깨고 전인미답 6조 향해 간다](https://www.inthenews.co.kr/data/cache/public/photos/20251044/art_17618244330917_f81756_120x90.jpg)












